-
27 de novembre de 2025
A la Zona 3
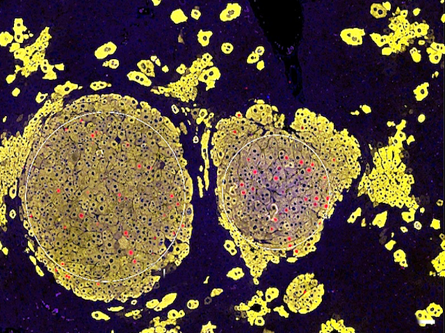
En el fetge normal, un gradient d’activitat d’una via de senyalització molecular anomenada WNT manté diferenciada l’expressió gènica i el creixement de les cèl·lules hepàtiques en diverses zones (una zonificació des del teixit més extern fins al més intern; sent la zona 3 l’entorn de la vena central del lòbul hepàtic). Aquest estudi analitza les complexitats del creixement i la diferenciació impulsats per WNT durant el desenvolupament tumoral al fetge, i revela que, en el context de mutacions de gens associades al càncer, l’estat cel·lular de la zona 3 (alt en WNT) no permet el creixement oncogènic impulsat per WNT. Açò aporta pistes sobre com es desenvolupa el càncer i com podria previndre's o tractar-se.
Llig l'article de la investigació publicat ací.
Escrit per Lindsey Goff
Què és la BPoD
BPoD són les sigles en anglès de la Imatge Biomèdica del Dia, és a dir "Biomedical Picture of the Day". El web original va estar creat i gestionat pel MRC Laboratory of Medical Sciences des de gener de 2012 fins al juliol de 2023 i ara està gestionat de manera independent per un equip dedicat de científics i escriptors. El lloc web pretén involucrar tothom, joves i vells, en les meravelles de la biologia i la seua influència en la medicina. L'arxiu, en constant creixement, de més de 4000 imatges d'investigacions, documenta més d'una dècada de progrés. Exploreu la col·lecció i mireu què descobriu. Les imatges són proporcionades amablement per a la inclusió en aquesta web gràcies a la generositat dels científics de tot el món.
Aquesta web és la versió oficial en català de la BPoD. Els creadors de la BPoD no es responsabilitzen de la fidelitat de la traducció.